Künstliche Intelligenz im Herzkatheterlabor
„Diese Innovation ist ein bedeutender Schritt hin zu einer personalisierten und präzisen Herzmedizin, von der unsere Patientinnen und Patienten direkt profitieren“, so Ronald Binder, Leiter der Abteilung für Innere Medizin II, Kardiologie und Intensivmedizin, am Klinikum Wels-Grieskirchen.
Goldstandard mit intelligenter Unterstützung
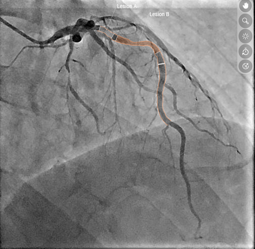
Die Darstellung der Herzkranzgefäße mittels Kontrastmittel und Katheter zählt seit vielen Jahren zum Goldstandard in der Diagnose und Behandlung von koronaren Herzerkrankungen. Bislang wurden die Angiografien von interventionellen Kardiologinnen und Kardiologen visuell analysiert. „Bei unklarer Relevanz einer Gefäßverengung – einer Stenose – konnte zusätzlich ein sogenannter Druckdraht eingebracht werden, um den Blutfluss zu messen“, erklärt Binder. Mit der neuen QFR-Software (Quantitative Flow Ratio) entfällt dieser invasive Schritt in vielen Fällen: „Die KI erkennt die Gefäße automatisiert, rekonstruiert sie dreidimensional und erstellt ein hämodynamisches Modell, das anzeigt, ob die Engstelle zu einer relevanten Durchblutungsstörung führt. Gleichzeitig analysiert die Software, ob und wie sich die Versorgungslage des Herzens durch eine eventuelle Gefäßaufweitung verbessern würde.“ So wird die Therapieentscheidung datenbasiert unterstützt und kann für jede Patientin und jeden Patienten individuell getroffen werden.
Links die klassische Darstellung, rechts das KI-Modell: Mit Hilfe der Software konnten zwei Engstellen an der Vorderwand des Herzens identifiziert und eine relevante Beeinträchtigung der Sauerstoffversorgung festgestellt werden. Das hämodynamische Modell zeigt: Eine gezielte Aufdehnung nur einer der beiden Stenosen reicht aus, um den Blutfluss wieder zu normalisieren.
KI in der Medizin – Potenzial für mehr Präzision
Spätestens mit dem breiten Einsatz von Sprachmodellen wie ChatGPT ist Künstliche Intelligenz im Alltag vieler Menschen angekommen. In der Medizin unterliegen KI-Anwendungen jedoch strengen gesetzlichen Anforderungen: Sie müssen wissenschaftlich geprüft und als Medizinprodukt zugelassen werden. Besonders bewährt sich die KI in Bereichen, in denen große Bildmengen auszuwerten sind – wie in der Radiologie oder eben in der Kardiologie. „Während Menschen im Laufe ihres Berufslebens nur eine begrenzte Zahl an Fällen studieren können, lassen sich KI-Modelle mit Millionen Datensätzen trainieren. Das ermöglicht eine konstante, reproduzierbare Qualität in der Befundung und unterstützt die ärztliche Expertise“, erklärt der Kardiologe. „Was vor wenigen Jahren noch nach Science-Fiction klang, ist heute gelebte Realität – und wird die moderne Medizin zunehmend prägen.“ Die Anwendung der KI-Technologie QFR zählt zu den praxisnahen und sinnvollen Einsatzmöglichkeiten von KI in der Medizin. Sie nutzt die Stärke der KI in der bildbasierten Mustererkennung und hämodynamischen Modellierung, um invasive Eingriffe zu reduzieren und gleichzeitig die diagnostische Aussagekraft zu erhöhen. Besonders überzeugend: Die Technologie ergänzt die ärztliche Entscheidungsfindung, ohne sie zu ersetzen – ein gutes Beispiel für eine Mensch-Maschine-Kollaboration auf hohem Niveau.
Das Klinikum Wels-Grieskirchen – www.klinikum-wegr.at
Das größte Ordensspital Österreichs ist eine Institution der Kongregation der Barmherzigen Schwestern vom heiligen Kreuz und der Franziskanerinnen von Vöcklabruck. Mit 35 medizinischen Abteilungen, 1.251 Betten und rund 4.300 Mitarbeitern leistet das Klinikum Wels-Grieskirchen umfassende medizinische Versorgung in Oberösterreich. Der Gesundheitsversorger verzeichnet rund 65.000 stationäre Entlassungen jährlich. Aufgrund seiner zahlreichen Schwerpunkte und Kompetenzzentren bündelt das Klinikum fachübergreifendes Know-how und ermöglicht interdisziplinäre Diagnosen und Behandlungen zum Wohle der Patienten.
Pressekontakt Klinikum Wels-Grieskirchen
Mag. Kerstin Pindeus, MSc, MBA, A-4600 Wels, Grieskirchner Straße 42,
Tel: +43 7242 415-93772, Mobil: +43 699 1416 3772
E-Mail: kerstin.pindeus@klinikum-wegr.at
